老人性白内障の治療


 老人性白内障は、平均寿命の延長・老齢人口の増加にともない、今後ますます
  増えていく眼疾患の一つです。
  白内障の原因は、すでに前項で述べましたが、まだ不明な点が多く残っており、
  薬剤治療に関しても、水晶体の混濁を遅らせる薬剤としてわが国でもいくつかの
  点眼薬および内服薬が用いられています。
  通常は、混濁が進行して視力が低下し、日常生活に支障をきたすようになると
  水晶体を摘出します。
  水晶体を摘出した後は、眼鏡をかけるか、コンタクトレンズを装用するか、または
  眼内レンズ(人工水晶体)を挿入することにより、視力を回復することが可能です。
  現在、日本では一年間に約50万人の人が老人性白内障の手術を受けています。
  白内障の手術をする時期や手術方法などについては、主治医とよく相談したう
  えで決めて下さい。
  老人性白内障は、適切な治療により、視力の回復が望める疾患です。

  
老人性白内障の原因


 水晶体が濁る原因には、糖尿病、アトピー性皮膚炎などの全身病や緑内障など
  の他の眼疾患、放射線、薬の副作用、遺伝などがありますが、50歳代以降の健
  康者にも起こります。水晶体は蛋白質33%、水66%、ミネラル1%から構成され
  ていますが、この透明な蛋白質は老化に加え、外界の誘発因子(紫外線など)に
  より、蛋白分子が大きくなり、水に溶ける性質を失って濁ってくるのです。
  また蛋白質の中のアミノ酸の一部は光によって分解され、水晶体が黄色に着色さ
  れてきます。水晶体の中にあるビタミンCやグルタチオンなどの物質も減少し、ミ
  ネラルでは、カリウムの減少、ナトリウム、カルシウムの増加があり、水晶体の濁り
  の原因となります。
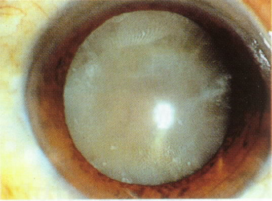
(写真.3)
(写真.2)
(写真.1)
老人性白内障とは?


人の眼は、よくカメラにたとえられます。カメラ
のレンズに相当する働きをするのが水晶体で
す。
人の水晶体は直径9ミリ、厚さ4ミリの凸レンズ
状の組織で、その働きにはレンズとして光を集
める働きとピントを合わせる機能があります。
この機能も年をとると共に低下し、近くの物が
見えにくくなります。この状態を老視(老眼)と
いいます。
水晶体のもう一つの特徴は、透明な組織で光
を透過し、眼底の網膜に光を集め、外界の物
体の像を結ぶ働きです。透明なはずの水晶体
が濁ってくると光が眼底に入る前に散乱されて
網膜に像を結ぶ働きが弱くなり、かすんで見え
るようになります。この水晶体の濁った状態を
白内障といいます。
老人性白内障の症状



● かすんで見えます。
  水晶体の濁りが中心部に及んでくると
  かすんできます。
  また濁りが進行するとかすみも強くなり、
  しだいに物が見えなくなってきます。
  (写真.1)

● まぶしくなる
   水晶体が濁り、光がその部分で反射
   するために光の強い戸外や逆光では
   まぶしく、見えにくくなり、中心部に濁
   りがある場合には、特にまぶしさが強
   くなります。
   (写真.2)

● 暗くなると見えにくい
   水晶体は高齢になればなるほど黄色
   に着色してきます。これに水晶体の濁
   りが加わると暗い所で、特に見えにくく
   なります。
   (写真.3)

● 一時的に近くが見やすい
   水晶体の中心にある核の濁りが強くな
   ると、屈折力が増して、老眼が治ったよ
   うな状態になり、眼鏡なしでも近くが見
   えるようになることがありますが、遠くは
   見えにくくなります。

● 物が二重、三重に見える
   水晶体の濁り方によっては、物が2つに
   も3つにも見えるようになる事があります。

● 痛みや充血はない
   水晶体には神経や血管がないため、痛
   みや充血はありませんが、まれに水晶体
   の濁りが進んで緑内障になると急に痛み
   や充血が起こります。